눈앞이 번쩍이거나 검은 점이 떠다니고, 시야가 가려지는 느낌은 대수롭지 않게 넘기기 쉬운 증상이지만, 경우에 따라 망막 질환의 초기 신호일 수 있어 주의해야 합니다. 특히 증상이 갑자기 시작되거나 점차 악화된다면 빠른 시일 내에 안과 방문이 필요합니다.
오늘은 망막 구조와 망막질환 종류 4가지, 그리고 어떤 경우에 망막 주사 치료가 필요한지까지 차례로 알아보겠습니다.
목차
Toggle
1. 망막 구조 살펴보기

1) 망막 위치와 기본 구조
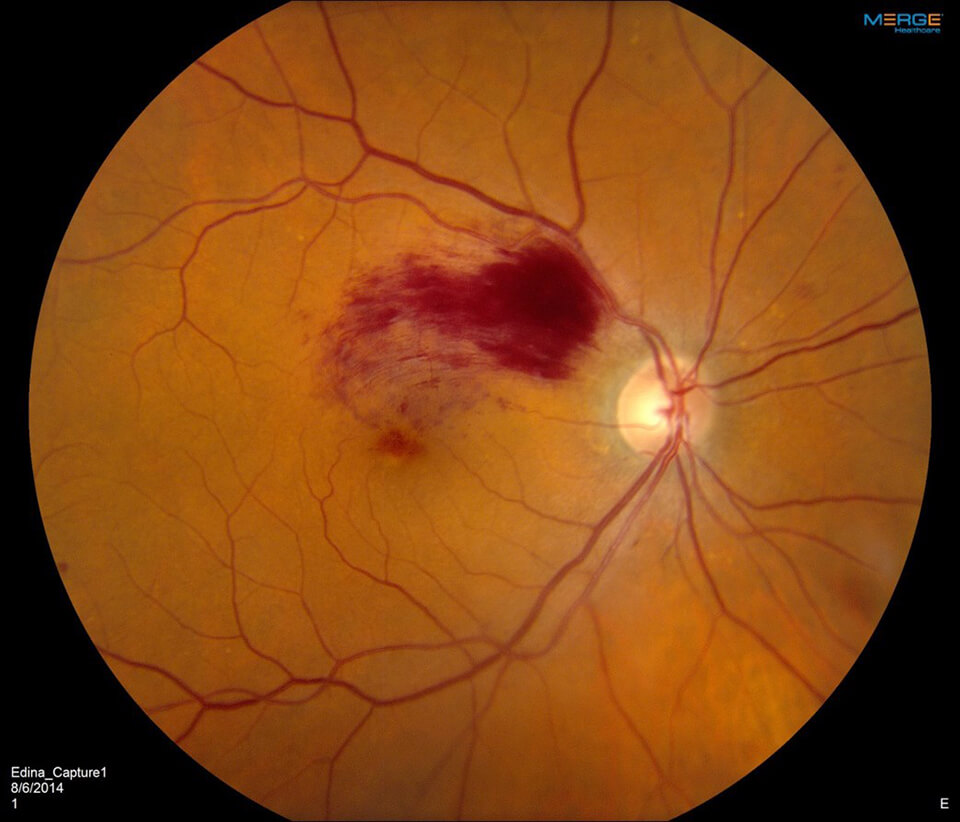
망막은 눈 안쪽 뒷편을 덮고 있는 얇은 신경 조직으로, 눈으로 들어온 빛을 전기 신호로 바꿔 시신경을 통해 뇌로 전달합니다. 이러한 역할 때문에 카메라의 필름에 비유되기도 하며, 시각의 핵심입니다.
망막 구조는 중심 시력을 담당하는 황반과 신호가 모여 시신경으로 나가는 지점인 시신경유두 등으로 이루어져있습니다. 특히 황반에 이상이 생기면 글자가 흐려지거나 중심이 찌그러져 보이는 등 시력 저하와 다양한 시각 변화가 나타날 수 있습니다.
2) 망막 문제 의심 증상
망막에 이상이 생기면 몇 가지 특징적인 증상이 나타날 수 있습니다. 예를 들어 검은 점이나 실 같은 것이 떠다니는 비문증, 눈에 이상한 잔상처럼 느껴지는 광시증, 시야가 커튼처럼 가려지는 느낌이 대표적입니다. 또, 직선이 휘어 보이거나 중심이 찌그러져 보이는 증상, 갑작스러운 시력 저하도 주의가 필요합니다.
이런 증상은 노화에 따른 자연스러운 변화일 수도 있지만, 경우에 따라 망막열공·망막박리나 황반 질환 같은 치료가 필요한 상태의 초기 신호일 수 있어 정확한 검진이 중요합니다.
2. 망막질환 종류 대표적인 4가지
1) 황반변성

대표적인 망막 질환 종류로는 황반변성이 있습니다. 황반변성은 눈의 중심 시력을 담당하는 황반에 변화가 생기면서, 글자를 볼 때 가운데가 흐려 보이거나 직선이 휘어 보이는 등 중심 시야에 불편이 생길 수 있습니다. 그러나 초기에는 증상이 뚜렷하지 않거나 서서히 진행되어 알아차리기 어려운 경우도 있습니다.
특히 습성 황반변성은 비정상 혈관에서 액체 누출이나 출혈이 생기면서 시력이 비교적 빠르게 나빠질 수 있어, 이를 억제하는 항VEGF 안구 내 주사 치료가 주로 활용됩니다.
2) 당뇨망막병증 / 당뇨황반부종

당뇨망막병증은 당뇨가 오래 지속되면서 망막 혈관이 손상되어 생기는 대표적인 당뇨 합병증입니다.
초기에는 증상이 거의 없어 본인이 이상을 느끼지 못하는 경우가 많습니다. 하지만 병이 진행되면 망막에 출혈이나 부종이 생길 수 있고, 특히 황반부종이 동반되면 중심 시력이 크게 떨어지거나 빠르게 나빠질 수 있습니다.
예를 들어 책을 읽을 때 글자가 번져 보이거나 초점이 잘 맞지 않는 느낌을 받을 수 있습니다. 이런 경우 황반부종을 조절하기 위해 주로 항VEGF 안구 내 주사 치료를 진행하며 상태에 따라 다른 치료가 함께 고려됩니다.
3) 망막열공 / 망막박리

망막열공은 망막에 작은 찢어짐이나 구멍이 생긴 상태입니다. 이때 검은 점이 갑자기 늘거나 눈에 이상한 잔상이 보이고 눈앞이 번쩍이는 증상이 함께 나타나는 경우가 많습니다. 열공을 초기에 발견하면 레이저 또는 냉동 치료로 찢어진 부위를 막아 망막박리로 진행될 위험을 줄일 수 있습니다.
반면 망막박리는 찢어진 틈으로 액체가 들어가 망막이 들뜨는 상태로, 시야가 커튼이나 그림자처럼 가려지는 증상이 특징입니다. 한쪽 눈 시야 일부가 갑자기 보이지 않거나 가려진다면 응급 상황일 수 있어 즉시 안과 진료가 필요합니다. 특히 망막박리는 대개 수술적 치료가 필요하므로 빠른 진단이 매우 중요합니다.
망막박리 골든 타임, 놓치면 실명 위험! 망막박리 A to Z
4) 망막정맥폐쇄

망막정맥폐쇄는 망막의 정맥이 막혀 혈액 순환에 문제가 생기는 망막질환 종류입니다. 고혈압·당뇨·고지혈증 같은 혈관 관련 질환이 있는 중·장년층에서 더 흔히 나타납니다. 정맥이 막히면 망막에 출혈과 부종이 생길 수 있고, 특히 황반부종이 동반되면 한쪽 눈이 갑자기 뿌옇게 보이거나 중심이 잘 안 보이는 등 시력 저하를 겪을 수 있습니다.
치료는 상태에 따라 달라지지만, 황반부종이 있을 때는 항VEGF 망막 주사 치료가 널리 사용되며 경우에 따라 스테로이드 치료나 레이저 치료 등이 함께 고려되기도 합니다.
3. 망막 주사 필요한 경우와 종류는?

1) 안구 내 주사가 필요한 경우
망막 주사는 망막에 붓기가 생기거나 비정상 혈관에서 피나 액체가 새면서 시력이 위협받을 때 시행합니다. 대표적으로 습성 황반변성은 비정상 혈관의 누출로 중심 시력이 빠르게 떨어질 수 있어 항VEGF 망막 주사 치료가 널리 사용됩니다.
또 당뇨황반부종, 망막정맥폐쇄로 인한 황반부종 등에서도 시력 보존을 위해 주사 치료가 중요한 역할을 합니다.
2) 망막 주사 종류
망막 주사는 사용하는 약에 따라 목적과 효과가 다릅니다. 가장 많이 쓰이는 것은 항VEGF 주사로, 눈 속 비정상 혈관 성장을 억제하고 혈관에서 액체 누출 및 출혈을 줄여주는 치료입니다. 습성 황반변성, 당뇨황반부종, 망막정맥폐쇄로 인한 황반부종 등에서 널리 활용됩니다.
한편 스테로이드 주사는 염증과 부종을 가라앉히는 데 목적이 있으며, 환자 상태에 따라 항VEGF 치료에 추가하거나 대안으로 사용됩니다.
3) 안구 내 주사 진행 과정
안구 내 주사는 수술이 아닌 간단한 시술로, 비교적 짧은 시간 안에 진행됩니다.
먼저 마취 안약을 넣어 통증을 줄이고, 감염 예방을 위해 눈 주변을 깨끗하게 소독합니다. 그다음 눈꺼풀을 벌리는 기구를 사용한 뒤, 눈 흰자 쪽을 통해 눈 속 유리체에 약물을 주입합니다.
시술 후에는 일시적으로 이물감, 충혈(빨간 점), 눈부심 등이 나타날 수 있지만 대개 시간이 지나면 좋아집니다. 다만 통증이 심해지거나 시력이 갑자기 떨어지고, 심한 충혈·분비물이 동반되면 즉시 안과를 방문해야 합니다.
4. 눈에 이상한 잔상이 보인다면? 성모진안과에서 정확하게 진단받기

눈에 이상한 잔상이 보이거나 시야가 흐려지고 왜곡되는 증상은 단순 피로로 넘기기 쉽지만, 망막질환 종류에 따라 빠르게 진행될 수 있어 주의가 필요합니다. 특히 눈앞이 번쩍이거나 시야가 가려지는 느낌이 반복된다면, 조기에 정확한 검사를 받는 것이 무엇보다 중요합니다.
성모진안과는 서울성모병원 망막 전문 교육을 받은 의료진이 OCT 등 정밀 검사를 통해 망막 구조와 황반 상태를 종합적으로 분석하고, 망막 주사·레이저 등 상태에 맞는 치료 방법을 제시합니다. 또한 백내장·녹내장 등 종합 안과 진료까지 체계적으로 진행합니다.
망막 이상 증상이 걱정된다면, 성모진안과에서 전문 의료진과 충분한 상담을 통해 자신의 눈 상태에 맞는 적절한 치료 방법을 확인해 보시길 권합니다.
☎️ 대표번호
02-577-7782
⏰ 운영시간
월~금 / AM 09:00 ~ PM 18:00
토요일 / AM 09:00 ~ PM 15:00
점심시간 / PM 13:00 ~ PM 14:00
토요일 점심시간 없음


