망막혈관폐쇄

망막혈관폐쇄란?

망막혈관폐쇄는 망막에 혈액을 공급하거나 배출하는 혈관이 막혀 시력이 저하되는 질환입니다.

망막은 눈으로 들어온 빛을 전기 신호로 바꿔 뇌에 전달하는 중요한 조직으로, 충분한 혈액 공급이 필수적입니다.

혈관이 막히면 망막 조직이 산소와 영양분을 제대로 공급받지 못해 손상되고, 출혈이나 부종이 발생하여 시력에 영향을 미칩니다.

망막혈관폐쇄 유형

망막동맥폐쇄

망막으로 가는 동맥이 막히는 질환입니다. 동맥이 막히면 망막에 필요한 산소와 영양이 공급되지 않아 급격한 시력 저하가 발생할 수 있습니다. 

망막동맥폐쇄는 특히 한쪽 눈에서 시력 저하가 빠르게 나타나는 특징이 있습니다.

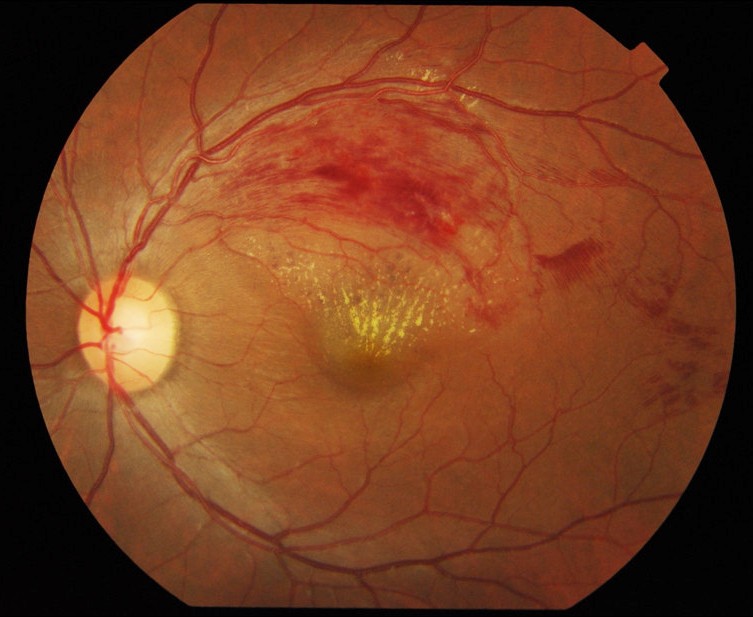
망막정맥폐쇄

망막에서 나오는 정맥이 막히는 질환으로, 망막정맥폐쇄는 망막 내 혈액 순환에 영향을 미쳐 부종, 출혈, 시력 손실 등을 초래할 수 있습니다.

망막정맥폐쇄는 망막동맥폐쇄보다 상대적으로 더 많이 발생하며,

특히 고혈압이나 당뇨병과 관련이 깊습니다.

망막혈관폐쇄 증상

망막혈관폐쇄는 증상이 빠르게 나타나며, 시력에 큰 영향을 미칠 수 있습니다.

갑작스러운 시력 저하

한쪽 눈에서 갑자기 시력이

흐려지거나 갑작스럽게 떨어지는 현상이 나타날 수 있습니다.

시야의 일부가 가려짐

시야의 일부가 흐려지거나 가려지는 느낌이 듭니다. 시야의 한 부분이

어두워지거나 사라지는 경우가

많습니다.

시야에 떠다니는 점이나 섬광

눈 앞에 작은 점이나 섬광이

떠다니는 느낌이 들 수 있습니다.

일과성 시력 상실

시력이 몇 초에서 몇 분간

소실되었다가 회복됩니다.

시야 왜곡

황반이 침범된 경우 직선이 휘어 보이거나 사물이 일그러져 보일 수 있습니다.

시야가 흐리거나 뿌옇게 보임

황반부종이 동반되면 전체적으로

안개가 낀 것처럼 흐려 보입니다.

망막혈관폐쇄 원인

고혈압

고혈압은 망막혈관을 손상시키고,

혈관이 좁아지거나 막히게 할 수 있습니다.

당뇨병

당뇨병은 혈관에 손상을 일으켜

망막혈관폐쇄를 유발할 수 있습니다.

동맥경화증

동맥경화증은 혈관이 두꺼워지고 경직되는 질환으로, 혈관이 좁아지거나 막히게 되어

망막혈관폐쇄를 초래할 수 있습니다.

고지혈증

높은 콜레스테롤과 중성지방은 동맥경화를 촉진하고 혈전 생성 위험을 높입니다.

심장 질환 및 부정맥

심방세동 등에서 형성된 혈전이

망막동맥으로 이동하여 폐쇄를

일으킬 수 있습니다.

기타 요인

비만, 폐쇄성 수면무호흡증, 탈수 등도

위험 요인으로 알려져 있습니다.

망막혈관폐쇄 진단/검사

안전검사

빛간섭단층촬영(OCT)

망막혈관조영술 등의 정밀검사

망막혈관폐쇄 치료

황반 부종 감소, 신생혈관 형성 방지를 위한 안구 내 항체 주사

신생혈관 형성을 막기 위한 국소 망막 레이저 시술

망막혈관폐쇄 예방 수칙

혈압 관리

고혈압은 가장 중요한 위험 요인입니다. 정기적으로 혈압을 측정하고 목표 범위 내로 유지합니다.

당뇨병 관리

당뇨병 환자는 혈당을 철저히 관리하고, 정기적인 안과 검진을 통해 망막 상태를 점검해야 합니다.

콜레스테롤 관리

고지혈증을 예방하고 치료하는 것이 중요합니다.

규칙적인 운동과 식이요법으로 혈중 지방 수치를 관리해야 합니다.

정기 검진

고위험군은 정기적으로 안저 검사를 받아 망막 혈관 상태를 확인합니다.

한쪽 눈에 망막혈관폐쇄가 발생했다면 반대쪽 눈도 주의 깊게 관찰해야 합니다.

자주 묻는 질문

망막동맥폐쇄, 특히 중심망막동맥폐쇄는 안과 응급 질환입니다. 발생 후 90분~수 시간 이내에 치료해야 망막 손상을 최소화할 수 있습니다.

망막정맥폐쇄는 동맥폐쇄만큼 급박하지는 않지만, 빠른 진단과 치료가 시력 예후를 좌우하므로 증상 발생 시 신속히 안과를 방문해야 합니다.

네, 특히 망막동맥폐쇄는 뇌졸중과 같은 기전(혈전, 색전)으로 발생하는 경우가 많습니다.

망막동맥폐쇄 환자는 향후 뇌졸중, 심근경색 발생 위험이 높으므로 심혈관 검사와 예방적 관리가 필수입니다.

망막정맥폐쇄도 심혈관 위험 요인과 관련이 깊습니다.

주로 50세 이상에서 발생하지만, 젊은 사람에게도 생길 수 있습니다.

젊은 환자의 경우 혈액 응고 장애, 염증성 혈관 질환, 심장 판막 질환 등 특수한 원인이 있을 수 있어 추가적인 검사가 필요합니다.

망막혈관폐쇄의 근본 원인인 고혈압, 당뇨, 동맥경화 등은 양쪽 눈과 전신 혈관에 모두 영향을 미칩니다.

반대쪽 눈에도 발생할 수 있고, 심혈관 질환(뇌졸중, 심근경색) 위험도 높아지므로 전신 건강 관리와 정기 검진이 중요합니다.

더 알아보기

성모진안과 망막질환 관련 최신 정보

아래 블로그에서 망막질환에 대한 더 많은 정보를 확인하세요.

카카오톡

채널

찐안과

유튜브