망막박리

망막박리란?

망막박리는 눈 안쪽을 감싸고 있는 망막이 아래층(망막색소상피)에서 분리되어 떨어지는 질환입니다.

망막은 카메라의 필름과 같은 역할을 하며, 빛을 받아들여 뇌로 시각 정보를 전달합니다.

망막이 제자리에서 떨어지면 산소와 영양분 공급이 차단되어 망막 세포가 손상되고,

치료하지 않으면 영구적인 시력 손실로 이어질 수 있습니다.

망막박리 유형

열공성 망막박리

가장 흔한 유형으로, 전체 망막박리의 약 90%를 차지합니다. 망막에 구멍(열공)이나 찢어짐이 생기고, 그 틈으로 유리체액이 들어가 망막을 들뜨게 합니다. 주로 노화로 인한 유리체

변성, 고도근시, 외상 등이 원인이 됩니다.

견인성 망막박리

망막 표면에 형성된 섬유막이나 흉터 조직이 망막을 잡아당겨 떨어지게 합니다. 당뇨 망막병증, 망막혈관폐쇄, 눈 속 염증,

외상 후 합병증 등에서 주로 발생합니다.

삼출성(장액성) 망막박리

망막에 구멍이나 견인 없이, 망막 아래에 액체가 고여서 발생합니다. 망막 또는 맥락막의

염증, 종양, 심한 고혈압, 임신중독증 등이

원인이 될 수 있습니다.

망막박리 증상

망막박리는 초기에는 증상이 거의 없거나 미미할 수 있지만,

병이 진행됨에 따라 다음과 같은 증상이 나타날 수 있습니다:

시야에 떠다니는 점이나 섬광이 보임

망막박리가 발생하면 눈앞에

떠다니는 작은 점이나 섬광 같은 빛의 번쩍임이 보일 수 있습니다. 

시야의 흐림 또는 가림 현상

망막의 일부가 떨어지면서 시야가

흐려지거나, 눈앞에 그림자처럼

가려진 부분이 생길 수 있습니다.

시야 왜곡

직선이 휘어 보이거나 사물이

일그러져 보일 수 있습니다.

비문증(날파리증)의 갑작스러운 증가

시야에 떠다니는 점, 실,

거미줄 모양이 갑자기 많아집니다. 

시야의 부분적 상실

한쪽 눈의 시야 일부가

점차 상실되거나, 터널처럼 좁아지는 현상이 나타날 수 있습니다.

중심 시력 소실

박리가 황반을 침범하면 보고자 하는 곳이

잘 보이지 않게 됩니다.

망막박리 자가 체크

다음 중 해당되는 사항이 있다면 안과를 방문하세요.

 

✔ 갑자기 떠다니는 점이나 실 같은 것이 크게 늘었다

✔ 눈을 감아도 빛이 번쩍이는 것처럼 보인다

✔ 시야 가장자리부터 검은 그림자나 커튼이 드리워지는 느낌이 든다

✔ 시력이 갑자기 흐려지거나 떨어졌다

✔ 최근 눈에 강한 충격을 받은 적이 있다

망막박리 원인

후유리체 박리

나이가 들면서 눈 속을 채우고 있는 유리체가 수축하며 망막에서 떨어지는 과정에서

망막을 잡아당겨 구멍이나 찢어짐을 만들 수 있습니다. 50세 이후 발생률이 증가합니다.

고도근시

근시가 심할수록 안구 길이가 길어지고 망막이 얇아져 열공이 생기기 쉽습니다.

고도근시 환자는 젊은 나이에도

망막박리 위험이 높습니다.

눈 외상

공이나 주먹에 맞거나, 교통사고, 낙상

등으로 눈에 강한 충격을 받으면

망막에 손상이 생길 수 있습니다.

백내장 수술 후

백내장 수술 후 유리체 변화가 촉진되어 망막박리 위험이 다소 증가합니다.

수술 후 정기 검진이 중요합니다.

이전 망막박리 병력

한쪽 눈에 망막박리가 발생했다면

반대쪽 눈에도 생길 확률이 약 10% 정도로 알려져 있습니다.

당뇨병

당뇨병성 망막병증에 의해 망막에

흉터가 생기고, 이로 인해 망막박리가

발생할 수 있습니다.

망막박리 진단/검사

산동 안저 검사

동공을 확장한 후 특수 렌즈로 망막 전체를 관찰합니다. 망막 열공, 박리 범위, 유리체

상태 등을 직접 확인할 수 있는 가장

기본적인 검사입니다.

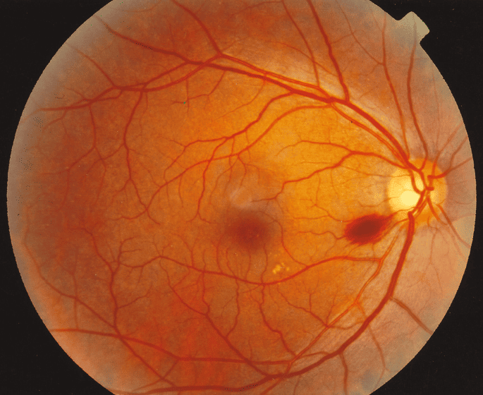
안저 촬영

망막 사진을 촬영하여 병변 위치와 범위를

기록합니다. 광각 안저 촬영으로 망막

주변부까지 넓게 확인할 수 있습니다.

안초음파 검사

유리체 출혈 등으로 안저가 잘 보이지 않을 때 초음파로 망막 상태를 확인합니다.

망막이 붙어 있는지 떨어져 있는지

판별할 수 있습니다.

망막박리 예방 수칙

눈 외상 예방

격렬한 운동이나 작업 시 보호 안경을 착용하여 눈 부상을 예방합니다.

특히 고도근시가 있다면 더욱 주의가 필요합니다.

기저 질환 관리

당뇨병, 고혈압 등 망막 건강에 영향을 미치는 전신 질환을 잘 관리합니다.

정기적인 안과 검진

고위험군(고도근시, 망막박리 가족력, 백내장 수술 경험자, 당뇨병 환자 등)은 정기적으로

산동 안저 검사를 받아 망막 열공이나 변성을 조기에 발견해야 합니다.

자주 묻는 질문

망막박리는 안과 응급 질환입니다. 특히 황반이 아직 붙어 있는 상태라면 24~72시간 이내에 수술을 받는 것이 시력 보존에 중요합니다.

황반까지 박리된 경우에도 가능한 빨리 치료해야 회복 가능성이 높아집니다.

네, 한쪽 눈에 망막박리가 발생하면 반대쪽 눈의 발생 위험도 약 10% 정도로 높아집니다.

양쪽 눈 모두 정기적인 검진을 받고, 반대쪽 눈에 열공이나 변성이 있으면 예방적 치료를 고려합니다.

고도근시는 망막박리의 주요 위험 요인입니다. 최소 연 1회 산동 안저 검사를 받고, 비문증 증가나 광시증 같은 이상 증상이 있으면 즉시 안과를 방문하세요. 격렬한 충격이 가해지는 운동은 피하는 것이 좋습니다.

라식, 라섹 등 각막 굴절 수술 자체가 망막박리를 유발하지는 않습니다.

다만 이런 수술을 받는 분들은 대부분 근시가 있고, 고도근시 자체가 망막박리 위험 요인이므로 정기 검진이 필요합니다.

더 알아보기

성모진안과 망막질환 관련 최신 정보

아래 블로그에서 망막질환에 대한 더 많은 정보를 확인하세요.

카카오톡

채널

찐안과

유튜브